Patología cardíaca
Insuficiencia cardíaca
Enlace patrocinado
Concepto
La insuficiencia cardiaca es la situación en la que el corazón no expulsa la sangre suficiente para los requerimientos metabólicos de los tejidos, o sólo es capaz de hacerlo sufriendo una sobrecarga de presión que acabará empeorando la insuficiencia.
Se trata de una enfermedad sistémica en la que actúan diferentes sistemas de compensación que contribuyen a la perpetuación del cuadro.
Se trata de una enfermedad sistémica en la que actúan diferentes sistemas de compensación que contribuyen a la perpetuación del cuadro.
Existen situaciones que pueden cursar con manifestaciones similares pero no se tratan de una insuficiencia cardiaca. ☤
Situaciones que no son una insuficiencia cardiaca:
- Insuficiencia circulatoria por causas no cardiacas (hemorragia, deshidratación,…).
- Congestión circulatoria por aumento de la volemia (insuficiencia renal, sobrecarga hídrica,…).
Etiología
Causas subyacentes ☤:
- Déficit de contracción muscular.
- Primarias: miocarditis, tóxicos, miocardiopatías,…
- Secundarias: Isquemia miocárdica ☤, enfermedades infiltrativas, alteraciones mecánicas (valvulopatías),…
- Contracción muscular normal con otros fenómenos alterados.
- Alteración del llenado cardiaco: arritmias, restricción miocárdica, constricción pericárdica, estenosis mitral,…
- Sobrecarga de presión o volumen: hipertensión arterial ☤, estenosis aórtica, regurgitación aórtica, cortocircuitos,…
Causas desencadenantes ☤:
La identificación de las causas desencadenantes es tan importante o más como la de las causas subyacentes, ya que pueden deteriorar seriamente la función cardiaca de un miocardio sin reservas y su prevención puede mejorar notablemente la supervivencia y calidad de vida del paciente.
- De origen cardiaco: Arritmias, fármacos inotropos negativos,…).
- De origen extracardiaco:
- Necesidad de aumento del gasto cardiaco: anemia, tirotoxicosis,…
- Aumento de las demandas detabólicas (infecciones).
- Aumento de la presión arterial pulmonar (embolia de pulmón).
- Sobrecarga del sistema circulatorio (aumento de la ingesta de sal, ejercicio físico excesivo, crisis emocional,…).
La identificación de las causas desencadenantes es tan importante o más como la de las causas subyacentes, ya que pueden deteriorar seriamente la función cardiaca de un miocardio sin reservas y su prevención puede mejorar notablemente la supervivencia y calidad de vida del paciente.
Formas clínicas
Habitualmente la insuficiencia cardiaca cursa con un gasto cardiaco disminuido ☤.
No obstante, existen situaciones excepcionales en las que existe una insuficiencia cardiaca con un gasto cardiaco elevado. ☤
Causas de insuficiencia cardiaca con gasto elevado:
- Enfermedad de Paget ósea.
- Beri-beri (déficit de tiamina).
- Sepsis.
- Fístulas arterio-venosas.
- Hipertiroidismo.
- Anemia.
- Embarazo.
- Anafilaxia.
Clasificación en función de los síntomas
- Insuficiencia cardiaca retrógrada ☤:
- Corazón izquierdo: congestión pulmonar y edema pulmonar. Disnea.
- Corazón derecho: edemas, hepatomegalia, ingurgitación yugular.
- Insuficiencia cardiaca anterógrada ☤:
- Corazón izquierdo: angina, síncope, isquemia de miembros inferiores, isquemia abdominal.
- Corazón derecho: disnea.
No obstante, los síntomas anterógrados y retrógrados suelen combinarse en un mismo paciente, de manera que es difícil hacer una clasificación precisa de la insuficiencia cardiaca en base a estos criterios.
Insuficiencia cardíaca sistólica y diastólica
IC sistólica ☤:
Predomina la incapacidad del ventrículo para mover suficiente cantidad de sangre hacia delante. Por lo tanto disminuye el volumen/latido y se eleva el volumen telediastólico ☤.
Predomina la incapacidad del ventrículo para mover suficiente cantidad de sangre hacia delante. Por lo tanto disminuye el volumen/latido y se eleva el volumen telediastólico ☤.
La fracción de eyección es un criterio ecocardiográfico. Es la diferencia de tamaño del ventrículo en la sístole respecto a la diástole.
Expresa el porcentaje de volumen telediastólico que el corazón expulsa durante la sístole. Sus valores normales son mayores o iguales al 55% (el corazón reduce su tamaño a la mitad y envía la mitad de su contenido a la circulación).
Es el parámetro más importante para valorar la gravedad de una insuficiencia cardiaca sistólica.
Expresa el porcentaje de volumen telediastólico que el corazón expulsa durante la sístole. Sus valores normales son mayores o iguales al 55% (el corazón reduce su tamaño a la mitad y envía la mitad de su contenido a la circulación).
Es el parámetro más importante para valorar la gravedad de una insuficiencia cardiaca sistólica.
IC diastólica ☤:
El ventrículo no es capaz de relajarse y llenarse normalmente durante la diástole. La contracción es normal, y la fracción de eyección no se altera hasta fases tardías.
La causa más importante es la fibrosis (hipertrofia o remodelado) de la pared ventricular, que impide su correcta distensión.
El ventrículo no es capaz de relajarse y llenarse normalmente durante la diástole. La contracción es normal, y la fracción de eyección no se altera hasta fases tardías.
La causa más importante es la fibrosis (hipertrofia o remodelado) de la pared ventricular, que impide su correcta distensión.
Fisiopatología
La situación de hipoxia tisular mantenida por disminución del gasto cardiaco en la insuficiencia cardiaca genera la activación de mecanismos compensadores cuyo objetivo es mejorar la perfusión tisular.
En primera instancia los mecanismos compensadores cumplen su función y mejoran la sintomatología del paciente, pero a largo plazo tienen efectos deletéreos.
En primera instancia los mecanismos compensadores cumplen su función y mejoran la sintomatología del paciente, pero a largo plazo tienen efectos deletéreos.
- Mecanismo de Frank-Starling:
Consiste en el aumento de la fuerza de contracción del músculo ventricular al elongarse sus fibras debido a un incremento de volumen.
- En el corazón normal, al aumentar el volumen telediastólico según esta ley se producen grandes incrementos del volumen de expulsión, pero el corazón insuficiente ya trabaja en la parte más elevada de la curva, por lo que se incrementa muy poco el gasto cardiaco y por el contrario se van haciendo más marcados los signos congestivos.
- Hipertrofia miocárdica:
La hipertrofia es una forma de compensación frente a una sobrecarga mantenida.
En la hipertrofia concéntrica se produce un aumento desproporcionado del grosor y también se ve afecta la función diastólica por la rigidez causada por la fibrosis.
El aumento de la masa total del músculo produce una serie de efectos adversos que acaban conduciendo a una disminución de la contractilidad y a perpetuar la insuficiencia cardiaca.
- Ajustes neurohormonales:
Los ajustes neurohumorales producen expansión del volumen y mantienen el riego en los órganos vitales.
Entre ellos se encuentran:
En respuesta a la caída de la tensión arterial se produce un aumento de catecolaminas circulantes. Aumenta la contractilidad, la frecuencia cardiaca y la venoconstricción.
La activación crónica del SN simpático produce un agotamiento de las reservas miocárdicas y disminuye la respuesta cardiaca al sistema adrenérgico y a los agonistas exógenos inotrópicos.
La estimulación excesiva del sistema alfa produce aumento de la resistencia vascular periférica, las presiones de llenado ventricular y hipertrofia ventricular por proliferación de cardiomiocitos.
La activación crónica del SN simpático produce un agotamiento de las reservas miocárdicas y disminuye la respuesta cardiaca al sistema adrenérgico y a los agonistas exógenos inotrópicos.
La estimulación excesiva del sistema alfa produce aumento de la resistencia vascular periférica, las presiones de llenado ventricular y hipertrofia ventricular por proliferación de cardiomiocitos.
Se activa el SRAA debido a la actividad del sistema simpático, la menor perfusión renal y la disminución del sodio sérico.
La angiotensina II es un vasocnostrictor muy potente y produce hipertrofia ventricular y reactivación del simpático.
La aldosteronaaumenta la reabsorción de sodio en la nefrona y activa la síntesis de colágeno promoviendo la hipertrofia.
A largo plazo, la activación excesiva del SRAA produce:
La angiotensina II es un vasocnostrictor muy potente y produce hipertrofia ventricular y reactivación del simpático.
La aldosteronaaumenta la reabsorción de sodio en la nefrona y activa la síntesis de colágeno promoviendo la hipertrofia.
A largo plazo, la activación excesiva del SRAA produce:
- Vasoconstricción excesiva con aumento de la poscarga.
- Vasoconstricción coronaria.
- Retención de agua y sal.
- Anomalías electrolíticas.
- Arritmias.
- Hipertensión venocapilar que produce edema sistémico y pulmonar.
Manifestaciones clínicas
Las manifestaciones clínicas de la insuficiencia cardiaca dependen de las consecuencias sistémicas de la hipertensión auricular izquierda y/o derecha.
- Ascitis.
- Debilidad y astenia por la perfusión deficiente de músculos.
- Debilidad y astenia por la perfusión deficiente de músculos.
Confusión, somnolencia, nerviosismo,… Se deben a la disminución del flujo sanguíneo cerebral. En casos graves puede aparecer la respiración periódica de Cheyne-Stokes ☤ debido a la alteración funcional del centro respiratorio por la isquemia.
- Cardiomegalia.
Diagnóstico
El diagnóstico de la insuficiencia cardiaca es clínico, en base a los signos y síntomas mencionados en el apartado previo.
El resto de pruebas tienen como objetivo confirmar el diagnóstico y aportar información pronóstica con el objetivo de optimizar el tratamiento del paciente.
El resto de pruebas tienen como objetivo confirmar el diagnóstico y aportar información pronóstica con el objetivo de optimizar el tratamiento del paciente.
Se pueden encontrar los siguientes hallazgos:
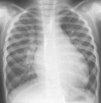
- Edema septal (líneas de Kerley).
- Edema perivascular y peribronquial con pérdida de definición y borrosidad de los vasos y bronquios de mediano calibre.
- Edema subpleural (visión de las cisuras interlobares).
- Edema alveolar en “alas de mariposa”.
- Cardiomegalia.
Aporta datos que sugieren la existencia de patología miocárdica o valvular. Las arritmias son frecuentes en el transcurso de la insuficiencia cardiaca. En la mayoría de los casos existen alteraciones inespecíficas del ECG, por lo que la presencia de un ECG normal obliga a replantearse el diagnóstico de insuficiencia cardiaca.
ECG que muestra hipertrofia y sobrecarga del ventrículo izquierdo, típico de la insuficiencia cardiaca.
Es un nuevo marcador hormonal que apoya el diagnóstico de insuficiencia cardiaca. Su especificad no es muy alta (se encuentra elevado en numerosas patologías) pero su valor predictivo negativo es muy alto, por lo que si el BNP es negativo el diagnóstico de insuficiencia cardiaca es sumamente improbable.
También tiene utilidad en la monitorización del tratamiento, puesto que sus niveles disminuyen con el tratamiento adecuado.
También tiene utilidad en la monitorización del tratamiento, puesto que sus niveles disminuyen con el tratamiento adecuado.
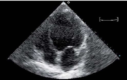
Es de extraordinaria utilidad para el diagnóstico de insuficiencia cardiaca. Permite valorar la masa ventricular, el tamaño de las cámaras cardiacas, la función sistólica y diastólica y detectar causas con tratamientos específicos. También permite evaluar la respuesta al tratamiento (mejora de la fracción de eyección y del remodelado).
Imagen apical de 4 cámaras de un corazón insuficiente y dilatado.
Debe realizarse en todos los pacientes con disfunción ventricular izquierda de causa no determinada para descartar una isquemia miocárdica que sea la responsable de los síntomas.
La ventriculografía puede aportar datos complementarios a la ecografía sobre las válvulas y la fracción de eyección.
La ventriculografía puede aportar datos complementarios a la ecografía sobre las válvulas y la fracción de eyección.
Clasificación funcional
La valoración de la capacidad funcional es fundamental en los pacientes con insuficiencia cardiaca, ya que la mejoría de dicha capacidad es uno de los objetivos básicos del tratamiento y supone un importante factor predictor de mortalidad.
La NYHA ☤ establece una clasificación funcional de los pacientes con insuficiencia cardiaca considerando el nivel de esfuerzo físico requerido para la aparición de los síntomas descritos.
La NYHA ☤ establece una clasificación funcional de los pacientes con insuficiencia cardiaca considerando el nivel de esfuerzo físico requerido para la aparición de los síntomas descritos.
- Clase I: No hay limitación física. La actividad habitual no causa fatiga, disnea o palpitaciones.
- Clase II: Limitación ligera de la actividad física. El paciente no presenta síntomas en reposo. La actividad física habitual produce fatiga, disnea, palpitaciones o angina de pecho.
- Clase III: limitación moderada de la actividad física. El paciente no presenta síntomas en reposo. Estos aparecen con actividad física menor de la habitual.
- Clase IV: Limitación severa de la actividad física. El paciente presenta síntomas en reposo.
Tratamiento de la insuficiencia cardíaca crónica
Medidas generales
- Restricción de sal. Es una medida básica y reduce la necesidad de tratamiento diurético.
- Ejercicio físico regular. Dentro de las limitación esimpuestas por la enfermedad.
- Limitar el consumo de alcohol y los AINEs, que pueden provocar deterioro de la función renal y ventricular.
- Control riguroso de la tensión arterial, el peso y otros ☤ factores de riesgo cardiovascular.
Tratamiento etiológico
Se debe intentar tratar en la medida de lo posible la causa de la disfunción cardiaca.
- Revascularización completa en la cardiopatía isquémica.
- Cirugía en las valvulopatías.
- Control estricto de la tensión arterial.
Tratamiento farmacológico en la insuficiencia cardiaca sistólica
- IECA ☤. Indicados en todos los pacientes con insuficiencia cardiaca sistólica desde el momento del diagnóstico. Se comienza con dosis bajas y se van subiendo progresivamente hasta la dosis máxima tolerada.
- Son vasodilatadores mixtos. Disminuyen la precarga y la poscarga.
- Previenen la progresión a insuficiencia cardiaca en pacientes asintomáticos con disfunción ventricular izquierda.
- Frenan el remodelado y disminuyen la muerte súbita.
- ARA-II ☤: Si existe intolerancia a los IECAs (angioedema, tos). No disminuyen el riesgo de hiperpotasemia.
- Beta-bloqueantes. Indicados en todos los pacientes desde el momento del diagnóstico. Se debe comenzar con dosis bajas para evitar desencadenar una insuficiencia cardiaca aguda. No todos han demostrado aumentar la supervivencia ☤.
- Antagonistas de los receptores de aldosterona ☤. Indicados sólo en pacientes que permanecen sintomáticos ☤ a pesar del tratamiento con IECA y beta-bloqueantes. También están indicados en diabéticos tras un infarto agudo de miocardio y en pacientes con disfunción sistólica post-infarto.
- Ivabradina. Acción cronotrópica negativa pura (similar a los beta-bloqueantes). Indicada en pacientes con disfunción ventricular severa ☤ y con frecuencia cardiaca superior a 70ppm que permanezcan sintomáticos pese a la combinación de IECA + beta-bloqueante + antagonista de la aldosterona.
- Hidralacina + nitratos. Indicada en sustitución de los IECA y los ARA-II cuando no son tolerados. Ha demostrado aumentar la supervivencia en varones de raza negra, aunque su eficacia general aún es incierta.
- Diuréticos: Son el tratamiento sintomático de elección. No han demostrado aumentar la sueprvivencia. Los más usados son los diuréticos del asa ☤.
Producen un descenso de la precarga al reducir el volumen de líquido del paciente. Su uso debe ajustarse en función de la sobrecarga de volumen que exista. - Digoxina: Inotropo positivo ☤ y cronotropo negativo ☤. En pacientes con insuficiencia cardiaca y en ritmo sinusal no muestra beneficio en cuanto a mortalidad, pero sí que reduce los ingresos hospitalarios por insuficiencia cardiaca.
En ritmo sinusal estaría indicado en pacientes sintomáticos pese a tratamiento con betabloqueantes + IECA + inhibidores de la aldosterona + diuréticos como alternativa a la ivabradina ☤.
Está especialmente indicada en pacietnes con insuficiencia cardiaca + fibrilación auricular. - Anticoagulantes orales ☤: Indicados sólo en pacientes con insuficiencia cardiaca de alto riesgo embolígeno ☤.
Tratamiento farmacológico en la insuficiencia cardiaca diastólica
En este caso la función sistólica es normal y el problema consiste en un llenado diastólico ventricular reducido. El objetivo del tratamiento es mejorar la relajación ventricular sin una reducción significativa del gasto cardiaco.
- Beta-bloqueantes / Calcioantagonistas no dihidropiridínicos ☤. Reducen la frecuencia cardiaca prolongando el tiempo de diástole y mejorando el llenado ventricular. Además son útiles para el control de la frecuencia cardiaca en caso de fibrilación auricular ☤.
Terapia de resincronización cardiaca
Consiste en un marcapasos tricameral ☤ que restaura la sincronía de la contracción ventricular, habitualmente perdida en la insuficiencia cardiaca grave.
Dispositivos de asistencia ventricular y trasplante cardiaco
El trasplante cardiaco es un tratamiento efectivo pero restringido a aquellos pacietnes con insuficiencia cardiaca severa refractaria al tratamiento habitual (farmacológico +/- resincronización), en los que el riesgo y el gasto estén realmente justificados.
Los dispositivos de asistencia ventricular, en el contexto de la insuficiencia cardiaca crónica también se utilizan en pacientes con insuficiencia cardiaca severa refractaria.
Pueden utilizarse como:
Los dispositivos de asistencia ventricular, en el contexto de la insuficiencia cardiaca crónica también se utilizan en pacientes con insuficiencia cardiaca severa refractaria.
Pueden utilizarse como:
Pacientes en insuficiencia cardiaca severa con indicación para trasplante salvo por la presencia de insuficiencia severa de otro órgano (hepática, renal,…). La asistencia ventricular puede mejorar la perfusión de dichos órganos y convertir al paciente en candidato a trasplante.
Última actualización: 20 de junio de 2013
Enlace patrocinado



