Histología del corazón
Enlace patrocinado
Introducción
El corazón es una bomba muscular de presión-aspiración que tiene a su cargo el flujo de la sangre dentro del aparato cardiovascular. Su pared está compuesta por tres capas:
- Endocardio (capa interna).
- Miocardio (capa intermedia).
- Epicardio (capa externa).
Epicardio
El epicardio☤ es la capa visceral del pericardio y recubre la superficie externa del corazón bajo la forma de una membrana serosa delgada.
Está compuesto por:
Está compuesto por:
- Epitelio plano simple (mesotelio).
La capa parietal del pericardio es también una membrana serosa común☤. El espacio que se encuentra entre ambas capas constituye la cavidad pericárdica☤.
Las arterias coronarias☤ pasan por encima de la superficie del corazón en el epicardio, mandando ramas profundas al interior del miocardio.☤
Esta localización superficial de las arterias es de gran importancia práctica, pues permite la colocación de injertos quirúrgicos que eviten las arterias obstruidas.
Miocardio
El miocardio☤ es la capa que ocupa casi toda la masa de la pared del corazón y está compuesto por fibras musculares cardíacas que se unen mediante tejido conectivo.
El miocardio comprende tres tipos celulares:
El miocardio comprende tres tipos celulares:
Las fibras musculares cardíacas están compuestas por células que se ramifican y forman en conjunto una red tridimensional. Las células están unidas cola con cola mediante discos intercalares y el núcleo tiene localización central.
Ver histología de la fibra muscular cardíaca más abajo.
Ver histología de la fibra muscular cardíaca más abajo.
En algunos cardiocitos auriculares aparecen unos gránulos de almacenamiento (0,4 μm de diámetro) rodeados por membrana y un aparato de Golgi y un retículo endoplásmico rugoso muy desarrollado.
Estos gránulos☤ contienen precursores de la hormona péptido natriurético atrial☤ (ANP).
Estos gránulos☤ contienen precursores de la hormona péptido natriurético atrial☤ (ANP).
Cardiocito auricular visto a microscopía electrónica.
Muestra el núcleo (N), las miofibrillas (M) y los gránulos auriculares específicos (G).
Muestra el núcleo (N), las miofibrillas (M) y los gránulos auriculares específicos (G).
Estas células se localizan en:
Ver apartado: Sistema de conducción.
- Nódulo sinoauricular: en la unión entre la vena cava superior y la aurícula derecha.
- Nódulo auriculoventricular: presente por debajo del endocardio en los tabiques interauricular e interventricular.
Ver apartado: Sistema de conducción.
La superficie externa del miocardio que se encuentra por debajo del pericardio es lisa, pero la superficie interna por debajo del endocardio está llena de trabeculaciones☤.
La cantidad de miocardio y el diámetro de las fibras musculares en las cámaras del corazón varía de acuerdo con el trabajo al que se ve sometida la cámara:
La cantidad de miocardio y el diámetro de las fibras musculares en las cámaras del corazón varía de acuerdo con el trabajo al que se ve sometida la cámara:
- Aurículas izquierda y derecha☤: su pared es delgada y está compuesta por células de pequeño diámetro.
- Ventrículo derecho☤: posee una capa muscular moderadamente gruesa compuesta por fibras de diámetro intermedio.
- Ventrículo izquierdo☤: su pared es la más gruesa y sus fibras musculares las de mayor diámetro.
Tinción con H-E.
En ambos ventrículos, se levantan los músculos papilares☤:
El miocardio posee capilares sanguíneos☤ abundantes en los que la sangre puede circular casi con exclusividad durante la diástole.
- Son unos montículos de músculo cardíaco que protruyen en la luz de los ventrículos y apuntan hacia las válvulas auriculoventriculares.
- Sobre ellos se insertan las cuerdas tendinosas☤.
El miocardio posee capilares sanguíneos☤ abundantes en los que la sangre puede circular casi con exclusividad durante la diástole.
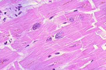
Al igual que el músculo esquelético, el músculo cardíaco es un tipo de músculo estriado y se caracteriza por una organización similar de los filamentos de actina y miosina que intervienen en la contracción.
Características con el microscopio óptico
Características con el microscopio óptico
- En un corte longitudinal☤ se observan ramificaciones que se comunican con las fibras vecinas.
- En un corte transversal☤ su aspecto es menos regular, respecto al músculo esquelético.
- El diámetro de las fibras rara vez excede de 15 μm.
- Los núcleos son grandes, ovales y claros, y se encuentran en la parte media de la célula.
- El patrón de estriado transversal☤ y las denominaciones de las distintas bandas corresponden a las de la musculatura esquelética. Sin embargo, el estriado no es tan notable.
- El sarcoplasma☤ contiene más glucógeno que la musculatura esquelética.
- En cada polo nuclear se encuentra una pequeña zona de sarcoplasma con forma de clava (conos yuxtanucleares☤). ☤
- Las células se unen mediante complejos de unión especializados llamados discos intercalares de forma término-terminal.
Los discos intercalares son los sistemas de unión que asocian a las células musculares cardíacas para formar las fibras del miocardio.
Se ven como gruesas líneas transversales, y se distinguen mejor mediante tinciones especiales☤.
Estas estructuras se encuentran en regiones de la membrana donde los extremos de dos células se enfrentan y se ubican en lugar de un disco Z☤.
Se ven como gruesas líneas transversales, y se distinguen mejor mediante tinciones especiales☤.
Estas estructuras se encuentran en regiones de la membrana donde los extremos de dos células se enfrentan y se ubican en lugar de un disco Z☤.
Ultraestructura de la musculatura cardíaca
Son regiones citoplasmáticas localizadas a la altura de ambos polos nucleares. Carecen de miofilamentos y contienen:
- Orgánulos (mitocondrias y un complejo de Golgi).
- Depósitos de energía (gránulos de glucógeno y gotas de lípidos).
- Gránulos de lipofuscina☤ (conforme avanza la edad).
Las miofibrillas no presentan un empaquetamiento tan denso como las fibras musculares esqueléticas, dado que hileras de mitocondrias y de elementos longitudinales del retículo sarcoplásmico separan a los miofilamentos en haces paralelos anastomosados.
- Ver esquema☤ de la organización de las miofibrillas.
- Ver imagen☤ de microscopía electrónica de la organización de las miofibrillas.
El retículo sarcoplásmico☤ está menos desarrollado y tiene una estructura más simple que en las células musculares esqueléticas.
Debajo de la membrana celular forma túbulos aplanados y cisternas y en la región de la banda A configura una red relativamente densa.
No hay tríadas ni cisternas terminales típicas. En lugar de eso, junto a cada túbulo T se asocia una sola cisterna dilatada para forma una díada.
Función: almacena calcio en las fases de reposo y lo libera con la estimulación de la célula, lo que desencadena la contracción de las miofibrillas.
Debajo de la membrana celular forma túbulos aplanados y cisternas y en la región de la banda A configura una red relativamente densa.
No hay tríadas ni cisternas terminales típicas. En lugar de eso, junto a cada túbulo T se asocia una sola cisterna dilatada para forma una díada.
Función: almacena calcio en las fases de reposo y lo libera con la estimulación de la célula, lo que desencadena la contracción de las miofibrillas.
Los discos intercalares presentan:
1. Una porción transversa, en la cual se ubican 2 tipos de unión intercelular:
2. Una porción longitudinal, que va paralela a los miofilamentos, en la cual se ubican:
1. Una porción transversa, en la cual se ubican 2 tipos de unión intercelular:
2. Una porción longitudinal, que va paralela a los miofilamentos, en la cual se ubican:
Seleccione las imágenes para agrandar.
Crecimiento
- Después del parto, el corazón sólo crece por aumento de tamaño de cada célula muscular cardíaca, dado que no hay mitosis en la vida extrauterina.
- En el adulto las células alcanzan un diámetro de unos 15 μm, pero en condiciones patológicas (o en casos de entrenamiento muy intenso y prolongado) con mayor sobrecarga cardíaca se produce hipertrofia☤ del corazón con aumento de la masa muscular.
Tinción con H-E
Regeneración
- El corazón carece de capacidad regenerativa debido a:
• Falta de capacidad mitótica en las células musculares cardíacas después del nacimiento.
• Ausencia de células satélite☤.
- En casos de isquemia prolongada se produce necrosis tisular y el defecto en el músculo cardíaco es reemplazado por una cicatriz de tejido conectivo.
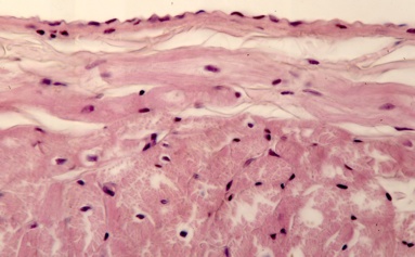
Endocardio
El endocardio☤ recubre la superficie interna de las aurículas y los ventrículos. En la transición a las arterias y las venas, el endocardio se continúa en la túnica íntima vascular.
Está compuesto por dos capas:
Está compuesto por dos capas:
Se sitúa por debajo del endotelio y se encarga de fijar el verdadero endocardio al miocardio, dado que continúa en el tejido conectivo entre las fibras musculares cardíacas. Contiene colágeno y fibras elásticas sintetizadas por los fibroblastos.
Esta capa contiene pequeños vasos sanguíneos, nervios y haces del sistema de conducción (fibras de Purkinje☤). La capa subendocárdica no existe en los músculos papilares y las cuerdas tendinosas, que se insertan en los bordes libres de las válvulas mitral y tricúspide.
Esta capa contiene pequeños vasos sanguíneos, nervios y haces del sistema de conducción (fibras de Purkinje☤). La capa subendocárdica no existe en los músculos papilares y las cuerdas tendinosas, que se insertan en los bordes libres de las válvulas mitral y tricúspide.
El endocardio es variable en cuanto a grosor, siendo más grueso en las aurículas y más delgado en los ventrículos, particularmente en el ventrículo izquierdo.
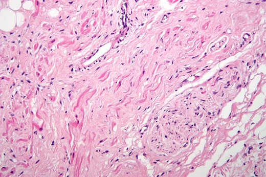
Esqueleto fibroso
Además del músculo cardíaco el corazón posee tejido conectivo denso, que forma el esqueleto fibroso del corazón.
Este esqueleto consta de:
Este esqueleto consta de:
Tienen una estructura en capas:
Hay pocos vasos sanguíneos debido a que las valvas son lo suficientemente finas como para recibir nutrición únicamente mediante difusión.
- Pars fibrosa: placa central fibrocolagenosa densa. El colágeno es responsable de la integridad mecánica de la válvula.
- Pars spongiosa: porción central de tejido conectivo laxo. Sirve como amortiguador de choques y durante la sístole contrae las cúspides que se habían estirado durante la diástole.
- Superficie ventricularis y atrialis: capas de células endoteliales planas que recubren las caras externas de la válvula.
Hay pocos vasos sanguíneos debido a que las valvas son lo suficientemente finas como para recibir nutrición únicamente mediante difusión.
Tinción con H-E
El esqueleto fibroso sirve como:
- Punto de inserción de los haces del miocardio.
- Previene el estiramiento de las válvulas cuando la sangre fluye por ellas.
- Es un aislante eléctrico que impide la diseminación directa de los potenciales de acción, de las aurículas a los ventrículos.
Sistema de conducción
El sistema de conducción del corazón está compuesto por fibras musculares que se han modificado para actuar como transductoras más que como células contráctiles.
Está compuesto por una malla irregular de células musculares nodales de 3 a 4 μm de diámetro. Estas fibras son considerablemente más delgadas que las fibras musculares cardíacas normales de la aurícula.
Las fibras musculares del nódulo SA no poseen discos intercalares, sino que se conectan unas con otras a través de desmosomas. Contienen pocas miofibrillas y no presentan un patrón estriado organizado.
Las células están englobadas dentro del tejido fibrocolágeno de sostén que contiene numerosos vasos sanguíneos, incluyendo una prominente arteria central (arteria nodal). Periféricamente se pueden ver numerosas fibras nerviosas.
Las fibras musculares del nódulo SA no poseen discos intercalares, sino que se conectan unas con otras a través de desmosomas. Contienen pocas miofibrillas y no presentan un patrón estriado organizado.
Las células están englobadas dentro del tejido fibrocolágeno de sostén que contiene numerosos vasos sanguíneos, incluyendo una prominente arteria central (arteria nodal). Periféricamente se pueden ver numerosas fibras nerviosas.
Tinción con H-E
Al igual que el nódulo sinusal, el nódulo AV se compone de células musculares nodales que forman nexos entre sí.
En la transición entre estas células y el haz AV existe una zona con células de aspecto intermedio entre las células musculares nodales y las células musculares cardíacas comunes (células musculares de transición☤).
En la transición entre estas células y el haz AV existe una zona con células de aspecto intermedio entre las células musculares nodales y las células musculares cardíacas comunes (células musculares de transición☤).
Tinción con von Gieson
CT: Células transicionales, CFC: Cuerpo fibroso central
Las pequeñas fibras de la terminación anterior del nódulo AV presentan una organización más regular y finalmente forman un haz independiente de fibras paralelas que forma el haz de His☤.
Este haz conductor penetra el colágeno del cuerpo central fibroso. Después discurre anteriormente durante un corto trayecto por el borde superior del músculo del tabique interventricular. Finalmente, se divide en las ramas derecha e izquierda.
Este haz conductor penetra el colágeno del cuerpo central fibroso. Después discurre anteriormente durante un corto trayecto por el borde superior del músculo del tabique interventricular. Finalmente, se divide en las ramas derecha e izquierda.
Tinción con tricrómico de Masson
CFC: Cuerpo fibroso central, VT: Válvula tricúspide
Las ramas derecha e izquierda conectan con una compleja red de fibras de conducción especializadas, las fibras de Purkinje:
- Son haces de fibras cardíacas conductoras de impulsos que se extienden desde el nódulo AV.
- Se localizan por debajo del endocardio revistiendo los dos lados del tabique interventricular.
- Contienen menor cantidad de miofibrillas☤.
- Su diámetro es mayor.
- Contienen abundante glucógeno (citoplasma más claro).
Tinción con H-E
Vasos sanguíneos
La irrigación propia del corazón tiene lugar a través de las dos arterias coronarias, que por su estructura son arterias elásticas. Discurren por el epicardio y mandan ramas al miocardio, con un fino lecho capilar que se sitúa alrededor de las células musculares cardíacas.
Desde un punto de vista funcional, las ramas menores de las arterias coronarias son arterias terminales☤.
Los capilares se unen para forman venas que desembocan en la vena coronaria mayor, que a través del seno coronario desemboca en la aurícula derecha.
Desde un punto de vista funcional, las ramas menores de las arterias coronarias son arterias terminales☤.
Los capilares se unen para forman venas que desembocan en la vena coronaria mayor, que a través del seno coronario desemboca en la aurícula derecha.
Vasos linfáticos
Los vasos linfáticos son muy abundantes en los tejidos subendocárdico y subepicárdico, mientras que el transcurso de los vasos linfáticos en el miocardio no está bien establecido.
Nervios
El corazón está inervado por fibras parasimpáticas☤ (vía el nervio vago) y simpáticas. Las fibras forman plexos cardíacos cerca de la base del corazón.
Las fibras posganglionares adrenérgicas y colinérgicas entregan terminales sobre todo a los nódulos sinusal y AV. Además, las arterias coronarias y las venas cardíacas son inervadas por fibras adrenérgicas.
Se encuentran fibras aferentes como receptores específicos de estiramiento y como nociceptores que median el dolor relacionado con la angina de pecho.
Las fibras posganglionares adrenérgicas y colinérgicas entregan terminales sobre todo a los nódulos sinusal y AV. Además, las arterias coronarias y las venas cardíacas son inervadas por fibras adrenérgicas.
Se encuentran fibras aferentes como receptores específicos de estiramiento y como nociceptores que median el dolor relacionado con la angina de pecho.
Libros:
Artículos de revisión:
Páginas web:
- Histología. Geneser, F. 3ª Ed. Panamericana (2000).
- Histología / Sobotta. Welsch, U. 2ª Ed. Panamericana (2009).
- Histología: Texto y Atlas Color con Biología Celular y Molecular. Ross, M. H. y W. Pawlina. 5ª Ed. Panamericana (2007).
- Histología Humana. Stevens, A. y Lowe, A. 3ª Ed. Elsevier (2006).
- Histología y biología celular. Introducción a la anatomía patológica. Kierszenbaum, A. L. 3ª Ed. Elsevier (2012).
Artículos de revisión:
- Sánchez-Quintana, D. y Yen Hob, S. Anatomía de los nodos cardíacos y del sistema de conducción específico auriculoventricular. Rev Esp Cardiol. 2003;56:1085-92.
Páginas web:
- Histology World: http://www.histology-world.com/
- University of Leeds: http://histology.leeds.ac.uk/
- University of Oklahoma: http://www.ouhsc.edu/histology/
- University of Ottawa: http://www.courseweb.uottawa.ca/medicine-histology/
- University of Wisconsin: http://histologyatlas.wisc.edu/
- Veterans Medical Research Foundation: http://www.vmrf.org/
Última actualización: 17 de marzo de 2013
Enlace patrocinado






